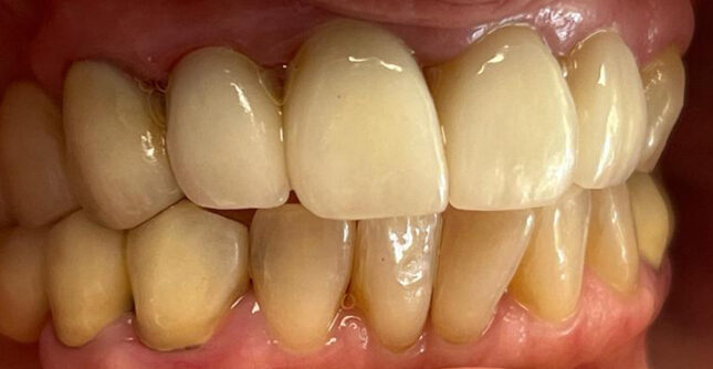
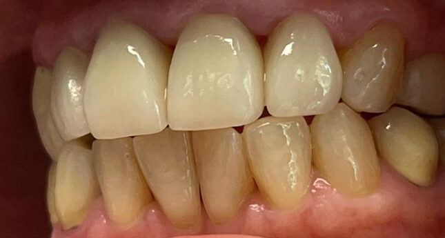
Ein charmantes Lächeln, passend zur Person, beeinflusst die ganze persönliche Erscheinung in positiver Hinsicht. Die Attraktivität des Gesichts hat einen wesentlichen Einfluss auf das eigene Selbstbild und Akzeptanz im sozialen Umfeld. In der ästhetischer Zahnheilkunde wird besonders auf die Rot-Weiß Ästhetik geachtet: eine Harmonie zwischen dem Weiß der Zähne und dem Rot des gesunden Zahnfleisches.
Zu unseren Zahnästhetischen Maßnahmen gehören:
- Zahnfarbene Füllungen aus Kunststoff oder laborfertige Keramikfüllungen (Inlays)
- Teil- und Vollkronen und Brücken aus Vollkeramik
- Veneers: hauchdünne Verblendschalen aus Keramik oder Kunststoff
















